진짜리얼라인치과

전후사진
  • 왼쪽으로
  • 오른쪽으로
  • 썸네일사진
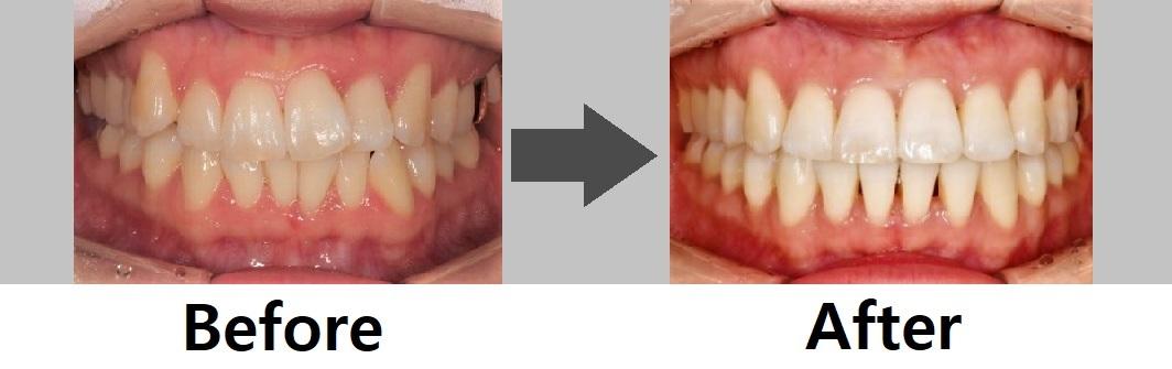
  • 앞니 치열교정(교정기간 : 2022.7.12~2023.6.24)..
  • 썸네일사진
  • 앞니벌어짐 부분교정(교정기간 : 2022.12.13~202..
  • 썸네일사진
  • 덧니 치열교정(교정기간 : 2022.9.13~2023.4.13)..
  • 썸네일사진
  • 앞니벌어짐 부분교정(교정기간 : 2022.11.1~2023..
  • 썸네일사진
  • 앞니 치열교정(교정기간 : 2022.7.12~2023.3.16)..
  • 썸네일사진
  • 상하악 치열교정(교정기간 : 2022.4.12~2023.4.8..
  • 썸네일사진
  • 하악 치열교정(교정기간 : 2022.8.2~2023.5.11)..
  • 썸네일사진
  • 겹쳐진 덧니 교정(교정기간 : 2022.8.16~2023.4...
  • 썸네일사진
  • 양쪽 어금니임플란트 전후사진(기간 : 2022.9.19..
  • 썸네일사진
  • 양쪽 위 어금니임플란트 전후사진(기간 : 2022.8..
  • 썸네일사진
  • 과개교합 전체교정(교정기간 : 2021.11.16~2023...
  • 썸네일사진
  • 상악전체임플란트 전후사진(기간 : 2022.7.11~20..
  • 썸네일사진
  • 상악전체임플란트 전후사진(기간 : 2022.6.20~20..
  • 썸네일사진
  • 전악임플란트 전후사진(기간 : 2022.5.20~2022.1..
  • 썸네일사진
  • 전악임플란트 전후사진(기간 : 2022.4.4~2022.10..
  • 썸네일사진
  • 전악임플란트 전후사진(기간 : 2022.3.16~2022.9..
  • 썸네일사진
  • 어금니임플란트 전후사진(2022.2.11)
  • 썸네일사진
  • 치아배열 및 교합 전체교정(교정기간 : 2021.4.1..
  • 썸네일사진
  • 치아배열 및 교합 전체교정(교정기간 : 2021.7.8..
  • 썸네일사진
  • 설측부분교정(교정기간 : 2022.3.8~2023.3.11)..
  • 썸네일사진
  • 전악임플란트 전후사진(기간 : 2022.7.13~2023.1..
  • 썸네일사진
  • 전체치열교정(교정기간 : 2021.6.12~2023.3.21)..
  • 썸네일사진
  • 상하악 앞니치열교정(교정기간 : 2022.2.8~2023...
  • 썸네일사진
  • 돌출입과 개방교합교정(교정기간 : 2021.5.8~202..
  • 썸네일사진
  • 매복사랑니발치 전후사진(2022.2.11)
  • 썸네일사진
  • 하악앞니틀어짐 재교정(교정기간 : 2022.1.6~202..
  • 썸네일사진
  • 앞니벌어짐 부분교정(교정기간 : 2021.12.16~202..
  • 썸네일사진
  • 전체치열교정(교정기간 : 2021.10.26~2023.5.31)..
  • 썸네일사진
  • 앞니뒤틀림 부분교정(교정기간 : 2021.10.14~202..
  • 썸네일사진
  • 전체치아 재교정(교정기간 : 2021.9.7~2023.3.11..
치료후기
  • 왼쪽으로
  • 오른쪽으로
  • 썸네일사진
  • "벌어진 치아도 재교정으로 완벽하게 회복"..
  • 썸네일사진
  • "철저한 관리로 만족스러운 교정 결과"..
  • 썸네일사진
  • "반년만에 끝난 재교정, 만족!"
  • 썸네일사진
  • "교정 후 달라진 내 모습에 미소가 지어져요."..
  • 썸네일사진
  • "부분교정으로 스트레스를 극복했어요"..
  • 썸네일사진
  • "감사하단 표현으로 부족한 교정 만족도"..
  • 썸네일사진
  • "주변 동료들에게 소개하고픈 임플란트치과"..
  • 썸네일사진
  • "환자의 입장에서 생각하는 교정진료"..
  • 썸네일사진
  • "오늘은 사랑니 발치하고 교정도 리얼라인에서"..
  • 썸네일사진
  • "모든 면에서 만족합니다, 감사해요"..
  • 썸네일사진
  • "작은 치료 하나도 환자분이 만족할 수 있게"..
  • 썸네일사진
  • "좋은 시스템으로 환자들을 만족시킵니다"..
  • 썸네일사진
  • "정확한 진단으로 정확한 치료를"
  • 썸네일사진
  • "후유증 없는 치과 치료는 리얼라인에서"..
  • 썸네일사진
  • "치과 공포증이 무슨 말이죠?"
  • 썸네일사진
  • "신뢰가는 치과 리얼라인입니다"
  • 썸네일사진
  • "평생토록 전담치과는 리얼라인이네요"..
  • 썸네일사진
  • "눈에 띄게 밝아진 치아미백"
  • 썸네일사진
  • "앞으로도 치아 치료는 리얼라인에서"..
  • 썸네일사진
  • "밝아진 치아로 기분이 up up "
  • 썸네일사진
  • "누런니를 치아미백으로 극복완료"..
  • 썸네일사진
  • "편하게 진료받을 수 있는 리얼라인"..
  • 썸네일사진
  • "환자분이 친구들 소개 많이 해주신다는 리얼라..
  • 썸네일사진
  • "처음부터 끝까지 모든걸 만족한 리얼라인"..
  • 썸네일사진
  • "내 전담치과는 리얼라인으로 할게요"..
  • 썸네일사진
  • "기대없이 내원했지만 만족할수 있는 곳"..
  • 썸네일사진
  • "만족도 상승으로 지인들에게 추천!! "..
  • 썸네일사진
  • "친절한 직원들과 정확환 진료"
  • 썸네일사진
  • "다른 곳과 비교해본 결과, 역시 리얼라인입니다..
  • 썸네일사진
  • "멀리서 찾아오길 잘했어요"


닫기