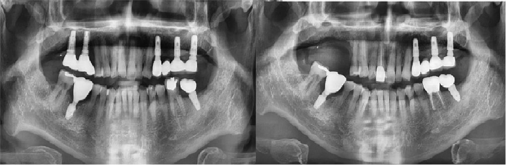
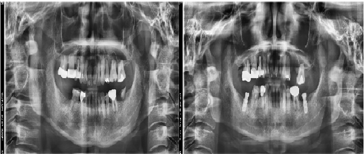
커뮤니티/후기 > 치료전후사진 +
치료전후사진